Protetyka

Protetyka jest działem stomatologii, odpowiadającym za odbudowanie, rekonstrukcje anatomicznego kształtu zęba oraz odzyskanie estetyki, przywrócenie funkcji fizjologicznych pojedynczego zęba, grupy zębów, szczęki lub całego uzębienia.

  • Pon-Śr08:30 — 17:30
  • Czw08:30 — 15:00
  • Pt08:30 — 14:00
  • Sob-NdNieczynne

uzupełnienia protetyczne stałe

Pierwszy etap

Wkłady koronowo-korzeniowe — są to złożone konstrukcję, łączące i wzmacniające korzeniową i koronową część zęba, zacementowane w korzeniu endodontycznie leczonego zęba.

Po zacementowaniu wkładu można przystępować do wykonania wycisku precyzyjnego do koronki lub mostu (dotyczy to braku jednego lub więcej zębów w szczęce).

Koronka porcelanowa na metalowej podbudowie
Drugi etap

Korona — jest to precyzyjnie przygotowany w systemie 3D „kaptur” na zniszczoną powierzchnię zęba.

Korona może być wykonana na podbudowie metalowej (najczęściej jest to metal szlachetny) — porcelana i metal tworzą jedną całość lub na podbudowie pełnoceramicznej (cyrkonowa platforma) — jest preferowana w przednim odcinku zębów.

Korona pełnoceramiczna

Korona jest mocowana za pomocą cementów wzmocnionych lub specjalnych systemów łączących w przypadku korony pełnoceramicznej.

Czasami przed leczeniem ortodontycznym u pacjentów dorosłych jest wskazane wykonanie tymczasowej
protetyki. W tym przypadku wykonujemy tymczasowe koronki lub mosty z żywic kompozytowych lub akrylowych
do momentu finishingu w leczeniu ortodontycznym.

Mosty protetycznecetyczne

Mosty — stosujemy, kiedy brakuje jednego lub więcej zębów i twardych tkanin oporowych zębów też mocno
zniszczone. Mosty mocowane na kikutach zębów filarowych za pomocą cementów lub systemów łączących.

Most w przednim odcinku, składającym się z 8 punktów
Most w przednim odcinku, składającym się z 8 punktów
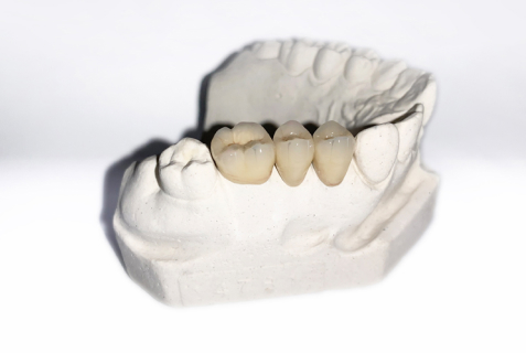
Most w bocznym odcinku, składającym się z 3 punktów
Most w bocznym odcinku, składającym się z 3 punktów

Rekonstrukcje inlay/onlay

Są to wspaniałe rozwiązania protetyczne, wykonywane w laboratorium dentystycznym. Przeznaczone
do zabezpieczenia ocalałych twardych tkanek w zniszczonych zębach bocznych, często przy tym zęby zostają
żywe. Takie konstrukcje pozwalają na odbudowanie idealnego kształtu zęba oraz korekty linii zgryzu.

Wkłady wykonywane są ze stopów szlachetnych i nieszlachetnych, ceramicznych, kompozytowych.

Inlay
Onlay
Inlay/Onlay
skontaktuj się z nami